FOOD INTOLERANCE NETWORK FACTSHEET

Multiple Sclerosis and diet
Introduction
What science says about diet and MS
The very low fat vegan diet
Does failsafe eating help with MS?
A dentist writes about the effects of nickel and other heavy metals on MS
What MS-affected medical doctors say:
More information

Diet is not routinely recommended for MS by most medical practitioners. However, 50 years of research by Dr. Roy Swank, formerly head of the University of Oregon Neurology Department, on over 5000 MS patients shows that MS can be stopped by a very low fat diet. His work has been published in some the world’s most prestigious journals, including the Lancet. It shows that if someone in the early stages of MS sticks to a low-fat diet, they have less than a 5% chance of becoming worse over the next 35 years.
What the science says about diet and MS
Swank RL, Dugan BB. Effect of low saturated fat diet in early and late cases of multiple sclerosis, Lancet, 1990;336(8706):37-9.
Abstract: 144 multiple sclerosis patients took a low-fat diet for 34 years. For each of three categories of neurological disability (minimum, moderate, severe) patients who adhered to the prescribed diet (less than or equal to 20 g fat/day) showed significantly less deterioration and much lower death rates than did those who consumed more fat than prescribed (greater than 20 g fat/day). The greatest benefit was seen in those with minimum disability at the start of the trial; in this group, when those who died from non-MS diseases were excluded from the analysis, 95% survived and remained physically.
See the story of a patient from Dr Swank’s trials, “when I first met Dr. Swank, his words to me were the most healing balm for the soul there was: ‘If you do as I say, Donna, you can live a normal life.’ With those words he gave me back my life. “ http://www.drmcdougall.com/health/education/health-science/stars/stars-written/donna-mcfarland
The very low fat vegan diet
Dr John McDougall is a colleague of Dr Swank’s, and one of the leaders of the very low fat vegan diet movement in the USA. He says that prescribed drugs don’t work for MS:
‘People with multiple sclerosis are harmed by false promises from the pharmaceutical industry carried out by their well meaning physicians; and as a result, nearly 50% of MS patients are unable to walk unassisted, bedridden, wheelchair bound or dead within 10 years of diagnosis. The simple, profit-free truth is: a healthy diet can stop this disease. A hard look at the evidence will lead all but the “financially tainted” to the conclusion that the time has long passed to change the way people with MS are treated’.
One of the McDougallers using his diet for MS says:
Yes, if people have an intolerance to certain food chemicals (and most people are unaware that they do). Failsafe eating is free of additives, and low in salicylates, amines and flavour enhancers as recommended by this website for people with food intolerance. From what failsafers say, it seems that people with both food intolerance and MS do better by combining failsafe eating with the low fat vegan option, including for their MS symptoms such as numbness and temperature perception, see reader stories below. A vegan diet sounds scary for someone with salicylate sensitivity because most fruit and many vegetables contain salicylates. However, it is not impossible as an increasing number of failsafe vegans are demonstrating. You can see a failsafe version of the very low fat vegan diet (as recommended by Drs Swank and McDougall).
A dentist writes about the effects of nickel and other heavy metals on MS
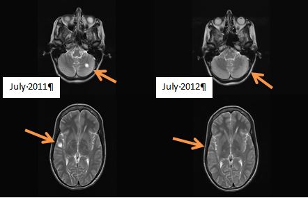
Danelle, the owner of the MRI scans above showing complete reversal MS lesions, says that her reversal was due to a vegan diet plus removal of heavy metals such as nickel, titanium due to dental procedures. See what dentist Dr Robert Gammal has to say about this:
‘Why would I, a dentist be writing about MS. Multiple Sclerosis, we are told, is a disease which has ‘no known cause’ and ‘no known treatment’ and is in the medical rather than dental domain. The answer is that I have been fortunate enough to see a number of spontaneous remissions of this disease following dental intervention . (Note - I am not offering a magic bullet. I have also seen many MS cases that did not resolve.) Each time, the disappearance of the MS symptoms and the lesions (which were visible on MRI), was associated with the removal of a dead root treated tooth.’
From Multiple sclerosis and other brain diseases by Robert Gammal BDS November 2012 http://betterdentistry.net/wp-content/uploads/2014/08/MultipleSclerosis2012.pdf
What MS-affected medical doctors say
Reader reports
I was diagnosed with Multiple Sclerosis in August 2011 at the age of 30. An MRI scan showed two large lesions in my brain. Prior to diagnosis, I had experienced the following symptoms over a six year period: numbness in my arms, itchiness of the upper body, fatigue, loss of taste, blurred vision and very scary double vision. After diagnosis I had some medical treatment with steroids and interferon but decided to stop this treatment due to the numerous side-effects.
Things I did:
Changed to a wholefood diet - 3 plates of vegetables, nuts and fruit per day (no additives, no alcohol, no added sugar, changed soaps for hair and body to natural ones)
- Eliminated metal I was found to be allergic to (nickel and titanium, www.melisa.com) :
- my nickel dental bridge and root canal tooth http://www.conem.org/people/gammalbio/
- titanium dioxide in my make-up and sunscreen (changed to www.bewellstaywell.com)
- aluminium and fluoride in the town water (drank only pure spring water)
- Sunbathed 20 min a day during the cooler months
- Took supplements
- Read web pages by others who have recovered from Multiple Sclerosis
- Researched, researched, and researched.
- Prayed and praying always.
One year later, the symptoms and brain lesions had gone, see image of brain scans above. Anyone can contact me via email
How long have you had MS?
I was diagnosed with MS 13 years ago. In retrospect, I think food intolerances have been with me since childhood: I endured terrible growing pains and had my adenoids taken out at 8 years of age because I supposedly talked through my nose. After years of bowel pains and then my MS diagnosis at 15, I finally decided to eliminate dairy foods four years later and noticed a dramatic improvement in my health.
How does MS affect you?
The MS symptoms I experience day to day are mostly sensory symptoms plus fatigue. The sensory changes mostly relate to feelings of cold particularly in my legs (not cold to touch but I perceive them to feel like ice blocks). This sensation changes from being really noticeable (both my legs feel cold 8 on a scale of 1-10) to not much at all (limited to the smallest spot on one leg but hardly noticeable - 2 out of 10). Early last year I went 100% failsafe after a period of not being so strict and after 4 weeks my cold sensations had reduced dramatically to about 1- 2 out of 10.
I have discussed my experiences with my allergist and he said other people with MS he has treated have had positive changes in their symptoms when following the RPAH elimination diet. I certainly notice a difference in sensation and fatigue when being failsafe. It has taken me years to finally accept this because I, like so many, kept thinking how can a meat and potatoes type diet be good for me? (Comment from Sue: it is possible to do a failsafe very low fat vegan diet)
Have you ever tried the standard MS diet?
All research into MS says to eat heaps of fruit and vegies, follow a low saturated fat diet and supplement with fish oils. After years of eating a mostly vegetarian diet, popping heaps of evening primrose oil and fish oil, I can now say that being failsafe is helping me the most. In fact, I follow failsafe eating principles but make sure my diet is low in saturated fat.
Do you have any opinions on Professor Jelinek's recommendations about sunshine?
I have read Professor Jelinek's book and think there is definitely something in the research about sun, vitamin D and calming an overactive immune system. It is quite interesting that over the last 13 years since my MS diagnosis every relapse I have had occurred in winter or very soon after! I certainly feel more energised in summer and even a few rays streaming through our lounge window see me on the floor soaking up the sunshine in winter.
Any hints for others?
I have noticed that taking bicarb soda in water makes quite a difference to food intolerance symptoms, particularly with facial flushing and itchy skin which is one of my more obvious reactions to salicylates, amines and MSG. How or why failsafe works is a mystery to me but I am happy to benefit from the impact it is making on my day to day health.
[550] Intolerance to salicylates and fructans combined with MS (May 2007)
I have been aware of the RPAH diet for over 10 years and largely stuck to it during that time to help with symptoms of MS (multiple sclerosis). I have also suffered bowel issues for many years, predominately constipation but sometimes diarrhoea. My symptoms primarily include bloating, constipation and terrible pain. Initially, I thought it was because of my MS (bowel and bladder disturbance can be a problem) so just figured I had to live with it. When my lower bowel pain became quite severe - particularly after eating wheat and despite being failsafe - I decided to consult my GP again. She referred me to a gastroenterologist who proceeded to do a colonoscopy to see if some inflammatory bowel disease was present and an endoscopy so she could take a biopsy and take a definite diagnosis on whether I had coeliac disease or not.
Fortunately, all my results came back clear and the gastro told me that after examination she concluded that I had a 'nice big healthy bowel' (I guess that's a compliment to the gastro fraternity!) As she had eliminated all other possible diseases, she further concluded that I simply had IBS which has no real treatment. She said that dietary modification could help however, and referred me to a bowel dietician.
The dietician explained to me about fructans (a natural sugar) found in the onion family, wheat, chicory and asparagus. Having been failsafe, I knew about the amine and salicylate intolerance I have but thought that eliminating fructans could help considering I found leeks, spring onions and wheat appeared to affect me despite them all being failsafe and despite my not having coeliacs. This all really helped so now I have refined my diet again and have eliminated all the trigger food chemicals (MSG, salicylates, amines) as well as fructans (leeks, spring onions, wheat, asparagus). This has helped my IBS greatly. I am now just trying to give up percolated coffee [moderate in salicylates] every morning as that appears to trigger IBS symptoms. This fructans information may just be another piece of the puzzle for some people who suffer IBS. by email.
More information
The McDougall VFL (very low fat) vegan diet for MS: http://www.drmcdougall.com/health/education/health-science/stars/stars-written/deb-tasic/ and http://www.drmcdougall.com/health/education/health-science/stars/stars-written/donna-mcfarland/
Failsafe vegan
‘Multiple sclerosis and other brain diseases’ by dentist Dr Robert Gammal http://betterdentistry.net/wp-content/uploads/2014/08/MultipleSclerosis2012.pdf
Dr George Jelinek www.overcomingmultiplesclerosis.org and http://www.overcomingmultiplesclerosis.org/html/blob.php/Program%20Overview%20Pocket%20PDF%20v5.pdf?attach=false&documentCode=11098
Dr Terry Wahls http://www.terrywahls.com/ and TEDX talk http://www.youtube.com/watch?v=KLjgBLwH3Wc
Danelle’s full story: http://www.msdietforwomen.com/beating-ms-without-medication-is-possible
The information given is not intended as medical advice. Always consult with your doctor for underlying illness. Before beginning dietary investigation, consult a dietician with an interest in food intolerance. You can see our list of experienced and supportive dietitians http://fedup.com.au/information/support/dietitians
© Sue Dengate update March 2019
